Sorry for the long absence, thanks to writing my NSF grant –the one that keeps my lab in business. (If you drill down you’ll find my current award “Kenyon 1” in Ohio.) I had thought I could put it off for a year–but my group has grown to 20+, with three major projects (E. coli on aspirin, bacterial neurotransmitters, high pH evolution) plus my Antarctic metagenomes, so besides completing Evolving Science 4E (almost) the grant had to get in. I won’t say what I proposed to NSF, except we already have a clinical lab inquiry for our early data, but that’s a story for another day.
My New Year’s resolution is to complete at least one blog story per week, plus make progress on Blood Star before all the science comes true already (see plant virus gene therapy).
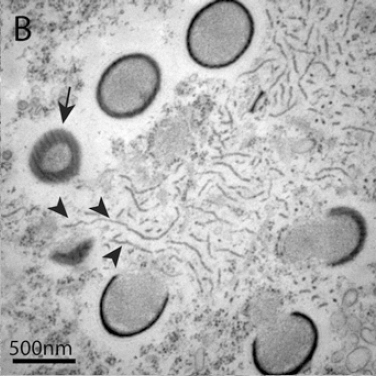
Today’s post is perhaps last year’s biggest story you never heard, the giant Mollivirus recovered from 30,000 years-old tundra in Siberia.
Thirty thousand years, remember? Woolly mammoths, saber-tooth tigers, and three species of humans still roamed the Earth. And amebas full of viruses. Some ameba froze to death, still infected by a giant virus called Mollivirus which remained infective. French students at the lab of Chantal Abergel and Jean-Michel Claverie incubated the tundra sample with live amebas (and a bunch of antibiotics to get rid of bacteria), then looked for where the amebas died. Previously, similar frozen samples have released Pandoravirus and Pithovirus. Can smallpox and 1918 influenza be far behind?
The new virus shows remarkable complexity in its reproduction cycle. First the ameba has to engulf the virus (by phagocytosis) which is large enough to resemble a tasty bacterium. That’s the selective pressure for ameba-host viruses to be giant: If too small, the ameba won’t engulf them. Once engulfed, the virus escapes the phagosome and invades the ameba’s nucleus where it sets up a virus factory. The factory starts churning out new virions. But interestingly, each virion packs unidentified fibrous material (see above). Maybe like packing peanuts? To make the whole package bigger and more attractive to the next predatory host?
Beyond that, the most intriguing point: Possibly for the first time, we have a virus that packs ribosomal proteins. Transfer RNA (tRNA to carry amino acids to the ribosome) has been found before, even specified by viral genes–Mollivirus has those genes too. But never the protein components of ribosomes. If a virus actually made working ribosomes, that would pretty much tip the scale to say, This “virus” is an honest-to-goodness cell. So far, we don’t know if (1) the Mollivirus-packed ribosomal proteins form ribosomes (probably not); (2) the ribosomal proteins “moonlight” serving other tasks for the virus, similar to how lysine tRNA serves as a reverse-transcriptase primer for HIV (AIDS virus); or (3) they’re just more packing peanuts to plump the virion.
Stay tuned for the French group’s next ancient virus discovery.

5 responses to “A Virus Has Ribosomes?”
If you sequence the ribosomes protein components, are they the same as the amoeba versions? This should help distinguish if they are from the amoeba or not, and if not, possibly/probably from the virus. If they are from the virus, it seems strange that these would be picked for “packing”. I wonder if they off some advantages for the virus’ translation mechanism?
The ribosomal proteins look like they come from ameba genes. However, they could be modified by the virus to compose ribosomes in the next host that more effectively synthesize viral proteins. Alternatively, the ribosomal proteins could “moonlight”; that is, be adapted to some completely different use. There are many such examples, even within a single organism such as a human body.
I enjoy your blog, Joan. Glad you’re finding time for it again. There are two kinds of science–regular, where scientists find out stuff–and transitive, where scientists find a way to tell it to the rest of us–you’re an important link–someone who can do both.
It’s always a dialogue–and it’s mind-expanding. Happy New Year!
Happy New Year!