Those virus genes are all up to tricks again—treating rare diseases.
Muscular Dystrophy type 1A is a disease of wasting muscle, in early childhood. Skeletal muscle and nerves deteriorate for lack of a cell matrix protein LAMA2—that is, a kind of structural strap that holds cells together in tissue. To edit this protein is a challenge because the defect is rare; and because every infant born with it has a different rare mutation. One approach to thereapy is to edit the gene, using the CRISPR gene editor system.
CRISPR was derived from a system of bacterial self defense against bacterial viruses, discovered by Jennifer Doudna and Emmanuelle Charpentier, likely to win the Nobel some day.
But a treatment devised to edit one mutation won’t work for others, over 350 variants found so far. Also, CRISPR gene editing is risky, because errors in the editing process itself—called “off target effects”—can cause cancer.
So another scientist Dwi Kemaladwi devised a new approach.
Kemaladwi used a form of CRISPR-Cas9 editing enzyme that has its own mutation, preventing Cas9 protein from cutting the DNA. Instead, Cas9 binds a DNA sequence marked by a guide RNA (sgRNA) to locate a promoter DNA sequence. The promoter sits upstream of gene LAMA1—encoding a protein very similar to LAMA2. This is common in the human genome, that we find several slightly different versions of a gene. Kemaladwi thought that overexpressing LAMA1 might help compensate for the failur of LAMA2.
So Cas9-sgRNA can help locate a promoter for LAMA1. How do we then activate LAMA1 expression (making RNA copies for protein production)?
Activation is the job of a Herpes virus protein: VP64 (actually, four copies of herpes protein VP16).
So here is the Franken-gene construct, which yet another virus (adenovirus vector) has to deliver to the muscle cells:

ITR = inverted terminal repeats. Placing these at either end of the DNA map enable the whole piece to be inserted in the adenoviral vector (small viral carrier genome).
CMV = cytomegalovirus promoter, to express the Cas9. Cytomegalovirus is a herpes-related virus that causes most of our congenital birth defects; ironically, here it’s going to help treat a genetic defect.
3xFLAG = an antigen tag to help scientists visualize cells making copies of the viral vector DNA
VP64 = 4 copies of the gene encoding herpes activator protein
SadCas9 = Cas9 protein sequence from Staphylococcus aureus, better known as Staph infection or sometimes MRSA (methicillin-resistant Staph; flesh-eating Staph)
U6 = a promoter sequence especially effective for expressing small RNA (sRNA) such as the (guide RNA sgRNA) for LAMA1
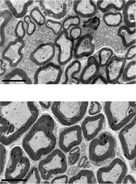
What happened? In a mouse model, the viral vector was injected, where it infected muscle cells and expressed the LAMA1 protein. This image compares cross sections of the mouse scitiatic nerves, with or without the vector treatment. The treated muscle (lower image) shows thicker sheathes around the nerves, more normal.

The treatment looks promising in mice, so we’ll see if it can be developed for humans.
3 responses to “CRISPR Plus Herpes Gene Fixes Muscle”
A very clever idea. What I don’t understand is this. If the LAMA2 gene cannot be guaranteed to be repaired due to different mutation sequences, rather than just forcing expression of LAMA1, why not insert another copy of LAMA2 with an appropriate promoter and any forced expression controls? This would ensure that the correct protein is being expressed, not just a similar one [LAMA1] that can [partially?] replace LAMA2.
Is this a technical issue, or perhaps an IP issue: a company controls the IP for LAMA2?
The reason is that LAMA2 and LAMA1 genes are so large that they don’t fit into a delivery vector.
So it is a technical reason. Thank you.